Usluge

Sve usluge na jednom mjestu
Od prvog pregleda do završnog osmijeha — kod nas dobijate kompletan plan terapije i jasno vođenje kroz svaki korak. Radimo precizno, nježno i bez žurbe, uz fokus na dugotrajan rezultat i vaše povjerenje.
Oralna Hirurgija
Specijalizirani tim sa dugogodišnjim iskustvom i kontinuiranom edukacijom za precizne i sigurne oralno-hirurške zahvate.
Estetska Stomatologija
Stručni stomatolozi s dokazanim iskustvom i kontinuiranim usavršavanjem, posvećeni prirodnim rezultatima i vrhunskom estetskom kvalitetu.
Dječija stomatologija
Iskusni stomatolozi s posebnim pristupom djeci, koji znanjem, strpljenjem i savremenim metodama osiguravaju siguran i bezbrižan osmijeh od malih nogu.
Implantologija
Stručni tim specijaliziran za implantologiju, koji savremenim metodama i kontinuiranom edukacijom osigurava dugotrajna i kvalitetna rješenja.
Zubna protetika
Kombinacija stručnosti, iskustva i savremenih tehnologija za protetska rješenja koja vraćaju funkciju, estetiku i sigurnost osmijeha.
We help you live your life in full motion.
Šta radimo najbolje
Bilo da želite estetsko poboljšanje osmijeha, nadoknadu izgubljenog zuba implantatom, oralnohirurški zahvat, izradu protetskih rješenja ili nježan pristup dječijoj stomatologiji — kod nas dobijate kompletne usluge na jednom mjestu. Svakom pacijentu pristupamo individualno i planski: krećemo od detaljnog pregleda i dijagnostike, zatim definišemo jasan plan terapije i preporučimo najprikladnije opcije.
Nakon toga terapiju radimo po prioritetima, uz fokus na sigurnost, udobnost i preciznost, kako bi rezultat bio i funkcionalan i estetski. Na kraju, kroz kontrolne preglede i upute za održavanje, pomažemo da postignuti rezultat traje što duže i da se zdravlje zuba i desni stabilno očuva.
Zašto naši pacijenti biraju naše usluge
- Individualan plan bez šablona
- Jasne opcije i cijene prije početka
- Dugotrajan rezultat i puna funkcija
- Nježno uz maksimalnu udobnost
- Precizna dijagnostika i stalna kontrola
- Usluge povezane u jedan plan
- Provjereni materijali i sigurni protokoli
- Pristup djeci bez stresa
- Kontrole i savjeti nakon terapije
- Termini prilagođeni vašem vremenu
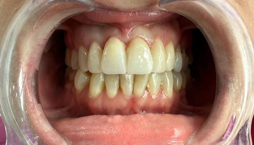
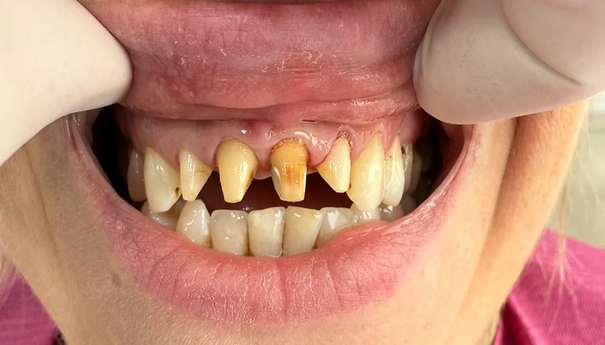
Stvarni pacijenti. Stvarni rezultati
Zakažite pregled
Vrlo prijatno osoblje kvalitet usluge
Sve pohvale,vrlo prijatno osoblje kvalitet usluge na visokom nivou,moje licno iskustvo zadnjih 10 godina.
Bogdan Marjanovic (Bole)
Pacijent
Stručni i veoma ljubazni
Stručni i veoma ljubazni.
Slavko Miladic
Pacijent
+ ganze Team
Beste Zahnarzt für mich,Dr Gordana G.+ganze Team....Gr He
Helmut Hillgarter
PacijentNajčešća pitanja pacijenata
Odabrali smo najrelevantnija pitanja kako bismo vam pomogli da razumijete procedure, proces i očekivane rezultate estetskih tretmana.
Preporučuje se da dijete prvi put posjeti stomatologa najkasnije do navršene prve godine ili čim iznikne prvi zub. Rani posjeti pomažu u prevenciji problema i stvaranju pozitivnog odnosa prema stomatologu.
Ne. Naši pedijatrijski stomatolozi koriste savremene, nježne i bezbolne tehnike prilagođene djeci. Cilj nam je da svaki tretman bude ugodan i bez stresa.
Kroz igru, interaktivne metode i topao pristup gradimo povjerenje s djetetom. Svaki korak se objašnjava na jednostavan i djeci razumljiv način, čime se smanjuje strah i nelagoda.
Preporučuju se redovni pregledi svakih 6 mjeseci. Time se omogućava rano otkrivanje karijesa i drugih problema te lakše i bezbolnije liječenje.
Dječija stomatologija uključuje preventivne preglede, fluoridaciju, plombe, vađenje mliječnih zuba, kontrolu karijesa, savjete o oralnoj higijeni, edukaciju o zdravoj ishrani i prevenciju povreda zuba.
Mliječni zubi imaju ključnu ulogu u pravilnom razvoju vilice, govoru i čuvanju prostora za stalne zube. Njihovo zdravlje direktno utiče na oralno zdravlje u odrasloj dobi.
Zahvat postavljanje faseta je minimalno invazivan i uz lokalnu anesteziju potpuno bezbolan.
Uz pravilnu higijenu i redovne kontrole, veneers fasete mogu trajati i više od 10–15 godina.
Ne — tretman lasersko izbjeljivanje je siguran, kontrolisan i ne utiče na strukturu zuba.
Efekat izbjeljivanja može trajati od 6 mjeseci do 2 godine, zavisno od navika pacijenta.
Da, koristimo visokokvalitetne krunice/materijale koji imitiraju prirodan izgled zuba.
U prosjeku su potrebne dvije do tri posjete za izradu krunice, zavisno od slučaja.
Zubni implantati su trajna zamjena za izgubljene zube. Riječ je o titanijumskom ili keramičkom implantatu koji se ugrađuje u kost i služi kao stabilna osnova za krunicu, most ili protezu. Implant funkcioniše i izgleda kao prirodan zub.
Većina odraslih osoba može biti kandidat za implantate pod uslovom da imaju zdrave desni i dovoljnu količinu kosti. Tokom pregleda i 3D dijagnostike procjenjujemo vaše individualne uslove i predlažemo optimalno rješenje.
Ne. Zahvat se izvodi u lokalnoj anesteziji i u pravilu je bezbolan. Većina pacijenata osjeti minimalnu nelagodu nakon zahvata, koja se lako kontroliše terapijom i prolazi u kratkom roku.
Sam zahvat ugradnje implantata traje relativno kratko. Nakon toga slijedi period zarastanja i integracije implantata s kosti, koji traje nekoliko mjeseci. Tačno trajanje zavisi od individualnog stanja kosti i plana terapije.
Uz pravilnu oralnu higijenu i redovne kontrole, implantati mogu trajati decenijama. Kvalitetni implantološki sistemi, poput Straumann implantata, dizajnirani su za dugoročnu stabilnost i pouzdanost.
Implantati pružaju veću stabilnost, prirodniji izgled i osjećaj, te ne oštećuju susjedne zube. Takođe pomažu u očuvanju kosti vilice i omogućavaju normalno žvakanje i govor.
Omogućavamo vam zakazivanje termina koji se prilagođavaju vašem rasporedu, kako biste lakše uskladili posjete ordinaciji.
Naravno, termin možete otkazati unaprijed uz minimalno obavještenje, a naš tim će vam pomoći da lako zakažete novi termin.
Naš tim čine iskusni i kvalifikovani stomatolozi s ekspertizom u različitim oblastima stomatologije i estetskih tretmana.
Termin možete zakazati putem telefona, e-maila ili naše online platforme, a potvrda termina stiže brzo i jednostavno.
Nudimo raznovrsne stomatološke tretmane, uključujući estetsku stomatologiju, implantologiju, oralnu hirurgiju, zubnu protetiku i dječiju stomatologiju.
Oralna hirurgija je specijalizovana grana stomatologije koja se bavi dijagnozom i hirurškim tretmanom problema zuba, desni, vilica i okolnih struktura. Obuhvata sve od jednostavnih vađenja zuba do složenih hirurških zahvata.
Oralna hirurgija uključuje vađenje impaktiranih umnjaka, hirurške ekstrakcije, liječenje cista i upala, rekonstrukciju kosti, kao i pripremu i ugradnju dentalnih implantata.
Ne. Svi zahvati se izvode uz odgovarajuću anesteziju, što ih čini bezbolnim. Savremene tehnike i minimalno invazivan pristup dodatno smanjuju nelagodu tokom i nakon intervencije.
Oralna hirurgija je potrebna kada standardni stomatološki tretmani nisu dovoljni, kao što su komplikovana vađenja zuba, hronične infekcije, problemi s vilicom ili priprema za implantološku terapiju.
Oporavak zavisi od vrste zahvata, ali je u većini slučajeva brz i kontrolisan. Pacijenti dobijaju jasne upute za njegu i redovne kontrole kako bi se osiguralo pravilno zarastanje.
Da. U Magi:dentu koristimo 3D dijagnostiku, digitalne rendgenske snimke i precizno planiranje kako bismo svaki zahvat učinili sigurnim, predvidivim i efikasnim.
Zubna protetika je grana stomatologije koja se bavi nadoknadom izgubljenih ili oštećenih zuba pomoću krunica, mostova i proteza. Cilj je vratiti funkcionalnost, estetiku i prirodan izgled osmijeha.
Zubna protetika je potrebna kod gubitka zuba, velikih oštećenja, slabljenja zubne strukture ili kao završni korak nakon implantološke terapije.
U Magi:dentu nudimo keramičke i cirkonske krunice i mostove, kao i djelimične i potpune proteze, izrađene uz pomoć savremene digitalne tehnologije i visokokvalitetnih materijala.
Da. Zahvaljujući digitalnom skeniranju i CAD/CAM tehnologiji, protetski radovi su precizno prilagođeni boji, obliku i proporcijama vaših prirodnih zuba, čime se postiže prirodan i estetski savršen rezultat.
Trajnost protetskih radova zavisi od vrste nadoknade, materijala i pravilnog održavanja. Uz dobru oralnu higijenu i redovne kontrole, protetski radovi mogu trajati dugi niz godina.
Ne. Postupci se izvode pažljivo i uz minimalnu nelagodu. Savremene tehnike omogućavaju udobno i sigurno iskustvo za pacijenta.
Radni sati ordinacije
- Ponedeljak 09:00 - 18:00
- Utorak 09:00 - 18:00
- Srijeda 09:00 - 18:00
- Četvrtak 09:00 - 18:00
- Petak 09:00 - 18:00
- Subota 09:00 - 12:00

